Cryptosporidum

Cryptosporidium

Species of the genus Cryptosporidium belong to the Apicomplexa phylum, which also comprises many important pathogens of humans and animals (Plasmodium, Toxoplasma, Eimeria). Cryptosporidium spp. are unicellular eukaryotes with a complex life cycle involving both asexual and sexual reproduction in the gastro-intestinal tract of a single host. There are at least 30 described species and many genotypes of unknown taxonomic status. In humans, two species account for the vast majority of cases, namely Cryptosporidium hominis (predominantly a human adapted parasite) and C. parvum (which infects both humans and animals, particularly young ruminants, and can be transmitted zoonotically).

The major symptom of the infection is watery diarrhea associated with abdominal cramps, anorexia, weight loss, nausea, vomiting, fatigue and low-grade fever. In immunocompetent individuals, cryptosporidiosis is a self-limiting disease with a median duration of 9–15 days. However, severe dehydration, weight loss and malnutrition, extended hospitalizations, and mortality, characterize infection of immunocompromised individuals. The recent Global Enteric Multicentre Study identified Cryptosporidium as one of the four major contributors to moderate-to-severe diarrheal diseases in children from sub-Saharan Africa and south Asia.

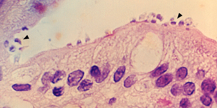
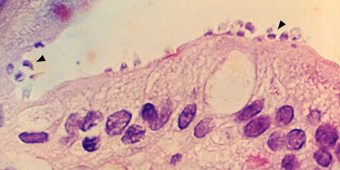
The transmittable stage, the oocyst, is shed with the feces of infected hosts, often in very in large numbers, and is remarkably resistant to environmental stress. Infections can occur directly via the oral-fecal route (human-to-human and animal-to-human contacts) or indirectly by ingestion of contaminated water and food. Water plays a particularly important role, and large outbreaks of cryptosporidiosis have occurred in the US and in Europe, often involving thousands of people.

The zoonotic potential of Cryptosporidium is well recognized, and several species have been implicated in zoonotic transmission. In decreasing order of relevance, C. parvum, C. meleagridis (that infects turkeys), and C. ubiquitum (that infects many mammals) contribute to zoonotic cryptosporidiosis, worldwide.

Cryptosporidium parvum infection is common in livestock species, especially young ruminant animals. Infection can be subclinical, especially in older animals. C. parvum Infection has also been reported in companion animals and wildlife. Animal infections with C. hominis are very rare and so far reported in a few farmed animals only.

Known host species

  • Humans
  • livestock
  • pets
  • wild animals

Samples used for detection of Cryptosporidium

  • Fecal material
  • Environmental samples
    • sewage
    • surface water
    • recreational water
    • tap water
  • Food
    • vegetables, fruits
    • shellfish

Genome

The Cryptosporidium genome is organized in eight linear chromosomes, and the genome size is approximately 9.1 Megabases. To date, a fully assembled genome has been generated from the C. parvum IOWA isolate, and a draft genome is available for the C. hominis TU502 isolate. The genomes of the two species are nearly 97% similar in nucleotide sequences, with complete synteny in gene organization. Genome drafts are available for other C. parvum and C. hominis isolates, for a distantly related species that infects the stomach of the rat, Cryptosporidium muris, and for an isolate of the so-called chipmunk genotype, which can infect humans.

Compare reference set

Genome (complete or drafts) from C. parvum, C. hominis (n=2), C. muris and the chipmunk genotype have been included as a reference set.

Last update: July 2015

https://www.compare-europe.eu/library/reference-genomes/cryptosporidium
30 DECEMBER 2020